What is a cleft
What is a cleft
A cleft is a congenital defect characterized by a split in tissues (muscle, skin, bone) that occurs due to lack of growth and lack of fusion of certain embryonic processes.
Cleft of the Lip &/or Palate results from failure of the right & left sides of the lip &/or palate to join together, leaving a gap.
In India 3 children are born with a cleft every hour & about 35,000 children are born with a cleft lip &/or palate every year.
What causes a Cleft
Clefts result from an abnormality in the genes & heredity is a dominant predisposing factor. Fathers, as well as mothers, can pass on genes that cause clefting.
Some environmental factors can also cause clefts for e.g. drugs like valium, dilantin, cortisone, methotrexate etc, maternal diabetes, & increased paternal age. Cigarette smoking by the mother can lead to hypoxia (lack of oxygen) in the foetus and this can also cause cleft defects.
Effects of Clefts
Clefts of the lip & palate are associated with many problems including cosmetic and dental abnormalities along with abnormal facial growth. As a result, the child develops abnormally placed teeth & abnormally formed teeth. Normal & efficient chewing of food gets affected. A cleft baby is more prone to ear infections because the Eustachian Tubes are usually affected by the cleft and do not drain the fluid from the middle ear properly. Speech is severely affected as phonation, resonance and articulation are profoundly disturbed.
Cleft and Nursing
The majority of children born with cleft lip & palate are unable to be breastfed. However a breast pump can be used so that the baby can still get the benefit of human breast milk. There are a number of special feeding bottles with special nipples available that can be used for feeding the cleft-affected baby. The most commonly used bottle is called the Mead Johnson Cleft Palate Nurser. This is a flattened, squeezable bottle with a longer, cross-cut nipple. The baby should be positioned in a semi-upright position (head is positioned higher than the stomach) so that the milk will flow downward into the baby’s stomach and not wash up and into the baby’s nasal passages.
Treatment of Clefts
Since cleft defects are associated with multiple problems, treatment is best carried out by a team of specialists. Typically the Cleft Palate Team consists of a Paediatrician, Plastic surgeon, Orthodontist, General dentist, Speech therapist, E.N.T. specialist, Audiologist, Geneticist, & Psychologist.
The basic principle of treatment is that a cleft child must look well, eat well and speak well.
It is important to remember that repairs of cleft lip and palate are done at the proper time as far as the child’s growth and development is concerned.
- Lip repair: 3 – 6 months
- Palate repair: 9 – 18 months
It is important to do palate repair before a child reaches the age of 18 months, because it is during this time that speech is developed. Without a proper palate the child may end up with defective speech.
- Speech Therapy: 18 months onwards
- Dental Treatment: 2 years onwards
- Orthodontic Treatment: 6 years onwards
- Alveolar Bone Grafting: 8 – 11 years
Nose Surgery: Extensive surgery on the nose is delayed until the child has achieved full growth i.e. after 16 years.
Can we Prevent Clefts from occurring?
Yes! To a certain extent. Genetic counselling of the parents, a planned pregnancy and a healthy lifestyle of the expectant mother are important. Also research has shown that taking a high dose of Folic Acid (400mcg daily) 2 months before conception till 3months after conception reduces the chances of cleft formation by almost 50%.
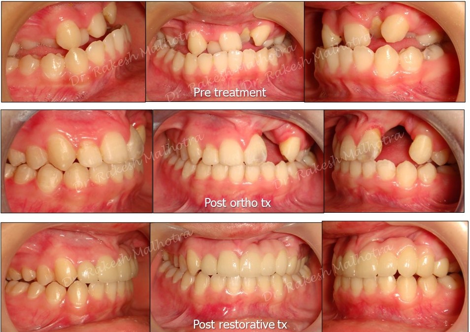
Rehabilitation of a case of Unilateral Cleft Lip & Palate.





